Aptamers for the Treatment of Osteoporosis
- 領域
- Therapeutic Biologics
- Patent
- IP00347
Key Problem and Market Opportunity
- Currently only 3 product classes available in the market. Among them, bisphonsphonate and SERMs are in the late growth phase of the product life cycle, while parathyroid hormones is in the infancy stage. All these drugs have severe side effects to the body.
- The global osteoporosis drugs market is expected to reach USD 16.3 billion by 2025, according to a new study by Grand View Research, Inc. Aging population and unhealthy lifestyle adoption has resulted in aggravation and increase in the prevalence of osteoporosis which is presumed to propel the osteoporosis drugs market during the forecast period.
Key Advantages of the Technology
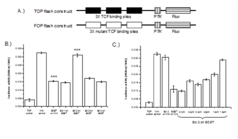
- Sclerostin is produced by the osteocyte and has anti-anabolic effects on bone formation. Selected DNA aptamers will bind to sclerostin with high affinity.
- Antagonizing sclerostin (scl) is thus a novel approach to stimulate bone growth with high specificity, without influencing the natural shedding of old bone cells.
- All selected aptamers found to bind tightly to the sclerostin, aptamer scl 2 showed inhibitory action against sclerostin functions in the cellular assay. The aptamers were further modified with 3' inverted thymidine capping to increase its self-life in cells and showed high thermal stability.
Potential Product and Services
- 7 aptamers clones have been tested, one clone showed high binding affinity and sclerostin inhibition activity
- Customization of other aptamers
Development status and IP Strength
- Patents have been granted in US, PRC, HK, UK, France, Germany, and Switzerland

